Clinical X-ray Workflow Training Without Radiation Exposure

There is a growing demand for ‘pre-clinical training’ in radiology education that cultivates practical skills for immediate clinical use in hospital settings. In response to this need, DRGEM is proud to introduce ‘RadTrainer’, an optimized solution for bridging the gap between theory and clinical practice. RadTrainer uses a large educational library based on real data to provide students with a safe, radiation-free environment. In addition, RadTrainer offers instructors a workflow that is identical to that in real general hospitals.

Why RadTrainer is the Professional Choice
| Efficient X-ray learning with real workflows | Full library of clinical images across all body parts | Flexible training in any non-hospital environment | Safe practice with no X-ray exposure |
RadTrainer is the professional choice for X-ray education. It combines clinical workflows with an extensive library of clinical images, enabling highly efficient, realistic learning. By offering a radiation-free, standalone software environment, RadTrainer makes high-level clinical training accessible anywhere, breaking down the barriers between the classroom and the hospital and facilitating the development of medical expertise.

Master every case: 23 body parts and 337 Positioning
RadTrainer stands out thanks to its extensive library of real clinical data. It uses high-resolution images from general hospitals as guides.
- Comprehensive coverage
Covers 23 body parts, including the chest, abdomen, spine and extremities.
- 337 Positioning Scenarios
Offers 337 diverse scenarios tailored to specific patient conditions and diseases. This enables students to practice complex clinical cases that are difficult to grasp from textbooks alone.

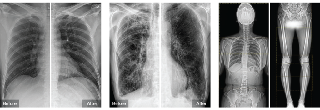
Advanced image processing and diagnostic training
In addition to providing basic exposure, RadTrainer uses DRGEM’s advanced imaging technologies to deliver in-depth clinical training.
- Clinical Image Processing
It features professional tools such as bone suppression for soft tissue visualization. It also covers scatter reduction for enhanced contrast and image stitching for whole spine and long bone imaging.
- 9 image presets
A single virtual exposure generates nine different image presets. This enables students to learn how to select the most suitable image for diagnosis without having to take additional X-rays.

‘Full workflow’ training identical to that in general hospitals
RadTrainer streamlines the entire clinical workflow for radiographers, ensuring that students are fully prepared for the job.
- Seamless workflow
The system covers the entire process, from patient registration and worklist management to preparation (positioning and setting exposure parameters).
- PACS connectivity
Students finalize the process by reviewing the images they have acquired and practicing PACS transmission. This reduces their future clinical onboarding time.
At DRGEM, we are dedicated to empowering the next generation of medical professionals to grow in a safe and systematic environment. We remain committed to providing technical support that enhances the practical skills of aspiring radiographers, and to leading the way in creating a better educational landscape.

