RadTrainer

Training Radiographers the Safe Way

Clinical X-ray Training without Radiation Exposure

RadTrainer is a radiography training solution that allows students to learn the full X-ray room workflow safely without X-ray exposure.

A pre-clinical training platform designed for students before real hospital practice

RadTrainer uses real clinical images from general hospitals to provide an immersive training environment in which students can learn to position 23 major body parts accurately, including the chest, abdomen, spine and extremities.

With access to 337 diverse scenarios based on specific patient conditions and diseases, the platform enables unlimited, radiation-free practice on complex cases that are challenging to understand from textbooks alone.

Providing 23 Body Parts & 337 Positionings

RadTrainer enables users to master 337 positioning techniques across 23 body parts, precisely reflecting the protocols used in general hospitals.

Why RadTrainer is the Professional Choice

Efficient X-ray learning with real workflows

Monitors Exposure Index (EI) and Deviation Index (DI) to ensure optimal radiation exposure for high-quality images and enhanced patient safety.

Full library of images across all body parts

Analyzes rejected images to identify patterns and reduce imaging errors, helping to improve workflow efficiency and minimize waste.

Flexible training in non-hospital environment

Tracks all system activities to provide detailed logs, ensuring accountability and maintaining compliance with clinical and regulatory standards.

Safe practice with no X-ray exposure

Tracks all system activities to provide detailed logs, ensuring accountability and maintaining compliance with clinical and regulatory standards.

Training Radiographers the Safe Way

Patient Registration & X-ray Preparation

Seamless Patient Setup

Register a new patient or select an existing case directly from the worklist to begin the training workflow smoothly and efficiently.

Guided Positioning and Exposure Setup

RadTrainer supports real clinical preparation by guiding patient positioning and exposure setup. It uses an extensive high-resolution image library covering 23 body parts and 337 positioning scenarios, based on real images used in general hospitals for realistic training and image review.

X-ray Exposure & Image Processing

Clinical Exposure Control and Image Review

Perform X-ray exposure within the simulation environment and immediately review the acquired images.

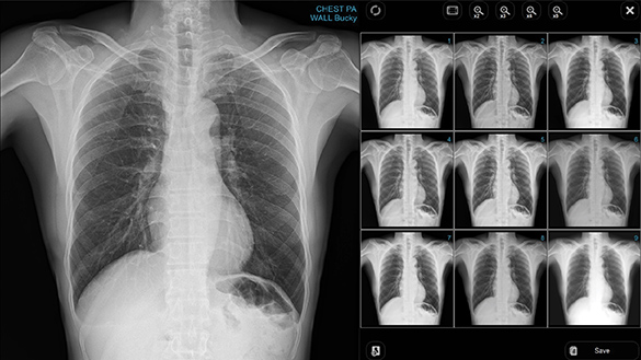
9 Image Presets

Nine image presets are generated from a single exposure, allowing users to select the most appropriate image without retaking X-rays.

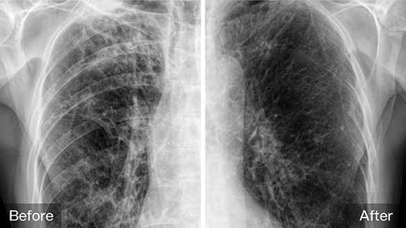
Bone Suppression

Enhances soft tissue visualization for superior chest X-ray training.

Image Processing

Post-digital image optimization that enhances clarity, contrast, and consistency for reliable diagnostic interpretation.

Scatter Reduction

Scatter reduction processing simulates clinical image quality by minimizing scatter effects and enhancing contrast.

Image Stitching

RadTrainer provides a training environment for whole-spine stitching and long-bone stitching.

PACS Connectivity

RadTrainer transmits simulated X-ray images to a PACS, enabling image review, training evaluation, and workflow validation on a single workstation.

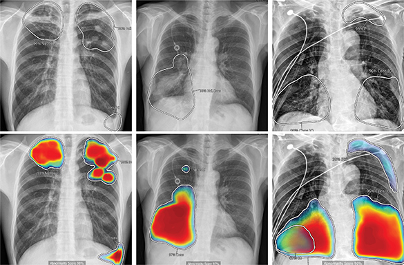
AI-Based Diagnostic Reference

RadTrainer includes AI-generated reference images that help trainees learn how AI-based analysis results are presented in clinical environments.

Configuration Options

  • Runs directly on a PC or laptop
  • Ideal for classroom learning and theory-based practice
  • Full access to positioning guidance, simulated workflow, and image viewing
  • No additional hardware required
  • Connects RadTrainer to
    X-ray Simulator
  • Enables hands-on operation with physical buttons and knobs
  • Delivers a more real workflow experience
  • Suitable for skill-based practical training environments
  • Complete setup with RadTrainer and DRGEM X-ray Systems
  • True-to-life workflow from positioning to exposure
  • Ideal for advanced clinical and skill-based training environments
  • Full control features are available when integrated with our system